A case of mistaken identity: Researchers unmask cellular source of Barrett’s esophagus

Posted date
  • Long thought to arise from esophageal cells that become intestinal cells, researchers discover that the condition actually arises from stomach cells that take on intestinal properties and appearance
  • Discovery may inform new approaches to therapies for the condition, which is a risk factor for a form of esophageal cancer

For most cells within the body, identity is non-negotiable. A bladder cell cannot impersonate a blood cell. A liver cell remains a liver cell.

One of the rare exceptions has been thought to be a condition known as Barrett’s esophagus, in which the lining of the esophagus comes to resemble the lining of the small intestine. Though not harmful in itself, it is the biggest risk factor for the development of esophageal adenocarcinoma, a cancer at the junction of the esophagus and the stomach.

Two recent studies by Dana-Farber Cancer Institute scientists correct a longstanding misconception about the origins of Barrett’s esophagus, and in doing so may point to new avenues of treatment or prevention to lower the risk of esophageal cancer. The first study, published last year in the journal Gastroenterology, demonstrates that Barrett’s esophagus does not, in fact, involve esophageal cells turning into intestinal cells, but stomach cells adopting some of the characteristics of intestinal cells. The second study, published in the current issue of Genes and Development, traces the series of molecular events by which this occurs.

“Barrett’s esophagus is caused by long-term gastrointestinal reflux disease [GERD], in which stomach acid repeatedly flows back into the esophagus,” says Ramesh Shivdasani, MD, PhD, of Dana-Farber and Brigham and Women’s Hospital, the senior author of both papers. “Exposure to the acidic contents of the stomach produces changes in the cells where the stomach and esophagus meet. Very similar changes are seen in a condition called gastric intestinal metaplasia, or GIM, which occurs lower in the stomach.”

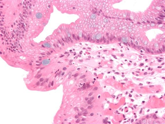
The changes are easily seen under a microscope. The inner lining of the digestive tract is made up of cells known as epithelial cells. In the esophagus, they take the form of squamous, or stratified, cells, which are layered horizontally, like bricks in a wall. In the intestine, they’re known as columnar cells, which resemble bricks stacked vertically. Stratified cells have a protective function, preventing harmful substances from coming in contact with underlying cells; columnar cells absorb nutrients from food. In people with Barrett’s esophagus, cells at the intersection of the esophagus and stomach, which should appear stratified, look exactly like columnar, intestinal cells.

In the Gastroenterology paper, Shivdasani and his colleagues investigated these seemingly intestinal cells at the molecular level. They focused on the cells’ chromatin – their DNA and its protein wrapping. Chromatin is organized like a length of yarn wound around multiple spools: where DNA is tightly coiled, genes are silent; where there’s more slack, genes are active. The pattern of coiled and uncoiled DNA within a cell indicates the cell’s core identity, its fundamental role within the body. Each type of cell – be it a brain, bone, or nerve cell – has a distinctive chromatin signature.

Shivdasani and his colleagues examined chromatin organization in biopsied samples of human Barrett’s esophagus tissue. “When we analyzed entire samples, each of which contained thousands or tens of thousands of cells, we found a very clear signature of stomach cells and intestinal cells,” he says. “But there was no semblance of an esophageal signature.”

The finding also left considerable ambiguity: did the tissue consist of a mix of stomach and intestinal cells, or of cells with a partly stomach and partly intestinal nature?

The answer came when advances in technology enabled researchers to probe chromatin organization within single cells. The team’s analysis showed that a Barrett’s esophagus cell “is essentially a schizophrenic or hybrid cell, with both stomach and intestinal features,” Shivdasani remarks.  “This tells us what’s at the heart of Barrett’s esophagus and GIM.”

The finding demonstrated that Barrett’s esophagus doesn’t, after all, violate the dictum against one cell type turning fully into another cell type. But it left open the question of how stomach cells take on some intestinal cell qualities.

The Genes and Development paper takes an important step in solving that conundrum. That step involves a transcription factor – a protein that controls gene activity – called HNF4A, which is normally present in stomach cells at low levels. Dana-Farber’s Harshabad Singh, MD, found that high levels of HNF4A activate a second factor, called CDX2, which is never produced in normal stomach cells but is needed to activate intestinal genes.

Singh, the first author of both studies, went on to show that CDX2 switches on about a quarter of all intestine-related genes. Although the research was done largely in mouse tissues, it’s likely to be applicable to human tissue as well, Shivdasani said.

The findings have enabled the researchers to construct a hypothesis about what happens at the cellular and molecular level as Barrett’s esophagus develops. “Barrett’s esophagus, and the cancer it gives rise to in a small minority of cases, always occurs at the very bottom of the esophagus, where the normal stratified epithelium meets the columnar epithelium of the stomach,” Shivdasani explains. “Our theory is that some injuries to the esophageal lining – such as those caused by chronic stomach acid reflux – are too severe for the esophageal epithelium to heal by itself. The damaged area needs some kind of barrier, so stomach epithelial cells travel there to seal the gap. When they arrive, they remain stomach cells, but the local environment triggers transcription factors that induce intestinal properties.”

The research may eventually yield treatments to prevent or alleviate Barrett’s esophagus, he continues. “To treat a disease of this nature, it’s necessary to understand exactly what type of cell is involved. Knowing the true identity of Barrett’s esophagus cells and their molecular triggers are important first steps.”

Co-authors of the new study are: Shariq Madha, Zhong Wu, Jin Zhou, MD, and Adrianna Maglieri, of Dana-Farber; Madhurima Saxena, PhD, Ankur K. Nagaraja, MD, and Adam J. Bass, MD, of Dana-Farber and Brigham and Women’s; Davide Seruggia, PhD, of Dana-Farber and Boston Children’s Hospital; Stuart H. Orkin, MD, of Dana-Farber, Boston Children’s, the Harvard Stem Cell Institute, and the Howard Hughes Medical Institute; Aaron J. Huebner, PhD, of Massachusetts General Hospital; Konrad Hochedlinger, PhD, of Massachusetts General Hospital and the Harvard Stem Cell Institute; Juliette Wezenbeek, MSc, of University Medical Center Utrecht, the Netherlands; and Jason L. Hornick, MD, PhD, of Brigham and Women’s.

The research was supported by the National Institutes of Health (grants R01DK082889 and P50CA127003), the Dana-Farber/Novartis Drug Discovery Program, and the Sarah Rhodes Fund for Cancer Research.


News Category
Research
Esophageal Cancer
Related Doctors and Researchers

Media Contacts

If you are a journalist and have a question about this story, please call 6176324090 and ask to speak to a member of the media team, or email media@dfci.harvard.edu.

The Media Team cannot respond to patient inquiries. For more information, please see Contact Us.